"항문에서 정액과 소변이 나오고, 요도에서 대변이 새어나오는"이라는 희귀 증례에 대해, 텍사스 의대 갤버스턴 교의 의사들이 보고했다. 이러한 증상에 시달렸던 33세의 남성은, 무려 2년 동안 사정하면 항문으로 정자가 새어 나왔다는 것이다.

증례 보고를 공유하는 플랫폼 Cureus Journal of Medical Science에 게재 된 보고서에 따르면, 33세의 남성은 "5일 동안 고환 통증"을 호소해 의사의 진찰을 받았다는 것. 남성은 불법 약물 사용 경력이 있었던 것 외에, 과거 2년 동안 소변에 공기나 변이 섞이는 기뇨, 분뇨 뿐만 아니라, 직장에서 상당한 양의 소변이나 정액이 누출되는 증상으로 고생했었다는....
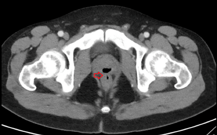
남성의 생체 신호에는 문제가 보이지 않았지만, 소변 검사에서는 요로 감염의 징후가 확인 된 것. 그후의 CT 검사를 통해, 직장과 전립섭 사이에 "가스가 찬 구조"가 존재하는 것으로 밝혀져, 직장과 요도를 연결하는 구멍 인 "직장 요도 누관"이 형성되어있는 것으로 밝혀졌다. 아래 사진에서 화살표로 표시 한 부분이, 가스에 의해 막힌 직장 요도 누관이다.

남성의 직장과 요도 관의 구멍을 통해 연결되어 있었기 때문에, 본래라면 요도에서 나올 소변이나 정액이 직장으로 흘러들어가거나 직장의 변이 요도까지 흘러들어오게 되었다는 것.
직장 요도 누관은 매우 드문 일이지만, 크론 병이나 전립선 암과 직장암, 결핵, 복부 수술, 직장에 외상 등으로 10만 명에 0.5명 정도의 비율로 발생할 수 있다라는 것. 그러나 남성은 지금까지 복부 수술을받은 적이 없었고, 원인이 될 것 같은 병을 앓은 적도 없었다는 것.
추가 조사를 통해, 남성이 2년 전에 코카인과 펜시 클리딘의 복용으로 3주 동안 혼수 상태에 빠졌을 때, 배뇨를 위해 요도 카테터를 넣었던 것으로 판명되었다. 당시의 카테터는 이미 제거되어 있었지만, 의사들은 카테터로 인한 외상이 직장 요도 누관을 형성했을 가능성이 있다고 지적하고있다.

결국, 직장 요도 누관은 외과 수술에 의해 폐쇄되었고, 남성은 무사히 회복 할 수 있었다고. 이번 증례를 보고 한 의사들에 따르면, 요도 카테터에 의해 직장 요도 누관이 생긴 사례는 매우 드문데다 정액이 직장까지 누출되는 증상도 드문 것 같다는....
의사들은 이번의 사례에서 얻을 수 있었던 결론으로, 스스로 소변을 배설할 수없는 환자의 요도 카테터 유치는 중요할 수도있지만, 그 합병증에 주의를 기울이는 것이 필요하다고 주장하고있다. 요로 감염이나 방광의 손상 등 널리 알려진 것뿐만 아니라 이번에 부상한 요도 손상이나 직장 요도 누관 등 잠재적 인 위험에 대해서도 고려할 필요가 있다고 말하고있다.